Invisalign Treatment: A Clear Path to a Straighter Smile - Plaistow Dentist

Invisalign Treatment: A Clear Path to a Straighter Smile

At Village Dental of New England, we understand the importance of a confident, straight smile. Invisalign offers a discreet, comfortable, and effective way to achieve beautifully aligned teeth without the need for traditional braces. Whether you’re addressing gaps, crowding, or bite issues, Invisalign can transform your smile while fitting seamlessly into your lifestyle.

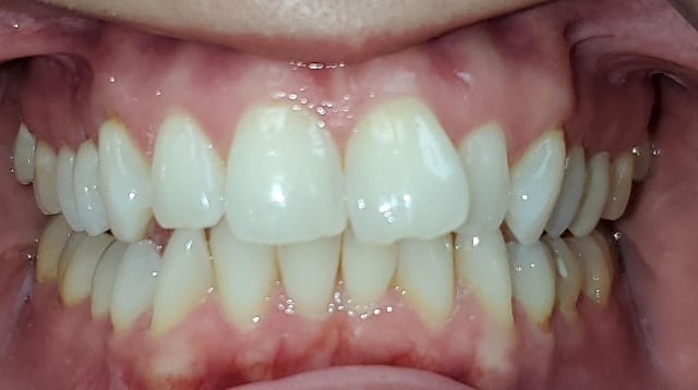
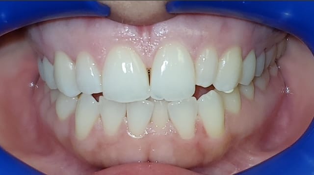
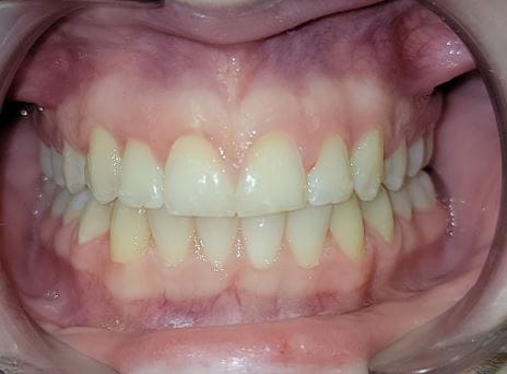
Before
After
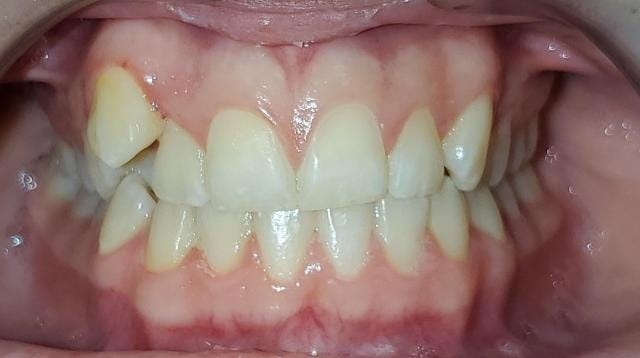
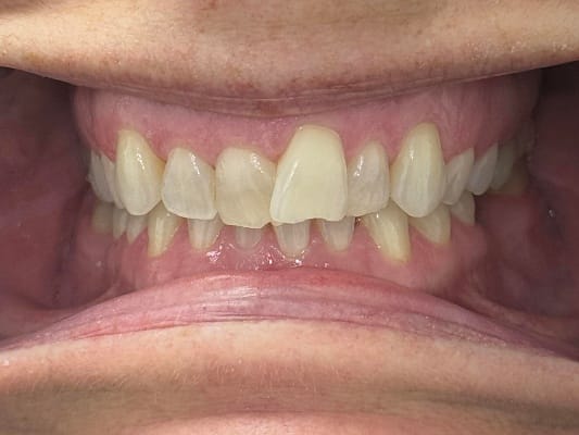
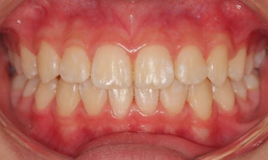
Before
After
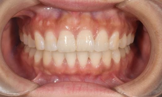
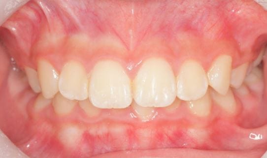
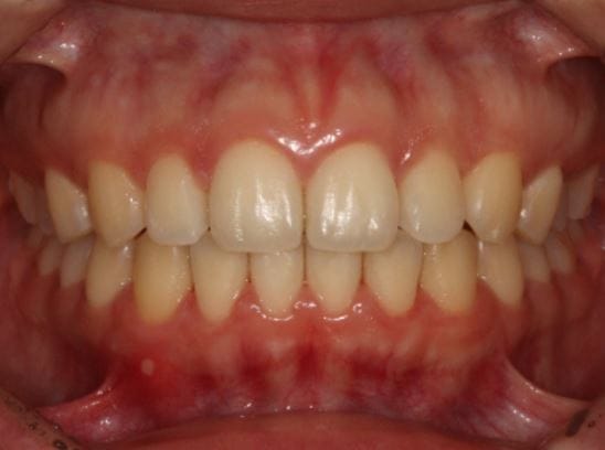
Before
After
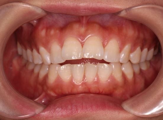
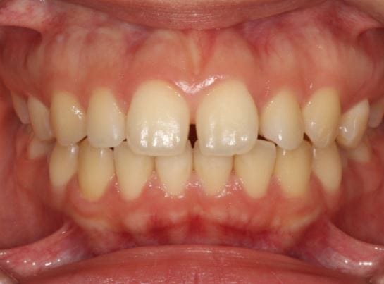
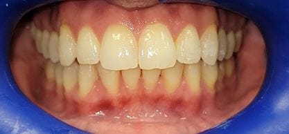
Before
After
Before
After
Before
After
Before
After

What Is Invisalign?

Invisalign is an innovative orthodontic treatment that uses a series of custom-made, clear aligners to gradually straighten your teeth. These aligners are removable, virtually invisible, and designed to deliver the results you desire with minimal disruption to your daily routine.

Who Can Benefit from Invisalign?

Invisalign is suitable for a wide range of orthodontic concerns, including:

  • Crowded Teeth: Aligners create space for overlapping or crowded teeth.
  • Gapped Teeth: Invisalign closes gaps to improve aesthetics and function.
  • Overbite: Aligners help correct an upper jaw that protrudes over the lower jaw.
  • Underbite: Invisalign can reposition the lower jaw for proper alignment.
  • Crossbite: Aligners correct misaligned upper and lower teeth.
  • Open Bite: Invisalign aligns teeth to eliminate gaps between upper and lower rows when biting.

     

Invisalign is ideal for teens and adults who prefer a discreet alternative to traditional braces.

The Invisalign Treatment Process

  • Consultation and Assessment Your journey begins with a comprehensive evaluation. During this visit:
  • Your dentist will assess your oral health and determine if Invisalign is the right option for you.
  • Digital impressions or 3D scans of your teeth will be taken to create a customized treatment plan.
  • Customized Aligners Based on your scans, a series of aligners is created to gradually move your teeth into their ideal positions. Each aligner is worn for about 1-2 weeks before progressing to the next in the series.
  • Wearing Your Aligners
  • Aligners should be worn for 20-22 hours a day, only removed for eating, drinking (except water), brushing, and flossing.
  • Regular check-ups every 6-8 weeks allow your dentist to monitor your progress and provide new aligners.
  • Completion and Retention Once your treatment is complete, you’ll be provided with a retainer to maintain your results and prevent teeth from shifting back to their original positions.

Benefits of Invisalign

  • Discreet Appearance The clear, nearly invisible aligners allow you to straighten your teeth without the noticeable look of traditional braces.
  • Comfortable Fit Invisalign aligners are made from smooth, BPA-free plastic, reducing irritation to your gums and cheeks.
  • Removability Aligners can be removed for eating, drinking, and cleaning your teeth, allowing you to maintain your oral hygiene with ease.
  • Custom Design Each aligner is tailored to your teeth, ensuring a snug fit and precise movement.
  • Predictable Results Advanced 3D imaging technology allows you to see a virtual representation of your new smile before treatment begins.
  • Fewer Office Visits Invisalign requires fewer check-ups compared to traditional braces, making it a convenient option for busy schedules.

How Long Does Invisalign Treatment Take?

The duration of Invisalign treatment varies based on individual needs, but most patients complete their treatment within 6-18 months. Your dentist will provide a personalized timeline during your consultation.

Caring for Your Invisalign Aligners

  • Clean Aligners Daily Rinse your aligners with lukewarm water and gently brush them with a soft toothbrush or aligner cleaner.
  • Maintain Oral Hygiene Brush and floss after every meal before reinserting your aligners to prevent bacteria buildup.
  • Avoid Eating with Aligners Remove aligners before consuming food or drinks (other than water) to prevent staining or damage.
  • Store Aligners Safely Use the provided case to store your aligners when not in use to avoid losing or damaging them.

Why Choose Village Dental of New England for Invisalign?

At Village Dental, we’re proud to offer Invisalign as a comfortable and effective orthodontic solution. Our experienced team takes the time to understand your goals, tailoring a treatment plan that meets your needs and delivers outstanding results. We’re committed to providing exceptional care every step of the way.

Frequently Asked Questions About Invisalign

For optimal results, aligners should be worn 20-22 hours a day.

While you may experience mild pressure or discomfort when switching to a new aligner, most patients find Invisalign far more comfortable than traditional braces.

Aligners should be removed before eating or drinking anything other than water to prevent damage or staining.

Invisalign can address many orthodontic concerns, but severe cases may require alternative treatments. Your dentist will advise you on the best option during your consultation.

The cost of Invisalign varies depending on the complexity of your case. Many insurance plans cover part of the treatment, and we offer flexible payment options to make Invisalign accessible.

Take the First Step Toward a Straighter Smile

Ready to transform your smile with Invisalign? Contact Village Dental of New England today to schedule your consultation. Our team is here to guide you on your journey to a confident, beautifully aligned smile!